Gingivitis / Gingivitis
Descripción: Clinical examination revealed 7-mm probing depths, circumferentially around a mandibular implant, bleeding on probing, and the presence of exudate and gingival inflammatory edema
Gingivitis
Gingivitis
(1) Definición:

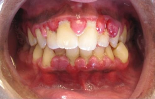
La gingivitis es una enfermedad reversible que afecta a las encías, que como consecuencia de un proceso de inflamación, sangran, cambian de color (encías rojas) y se vuelven más grandes. Está causada por una infección que crean las bacterias. Es una enfermedad inflamatoria periodontal reversible porque no llega a afectar el hueso que rodea el diente.

(1) Definition:

Gingivitis is a common and mild form of gum disease (periodontal disease) that causes irritation, redness and swelling (inflammation) of your gums. It can lead to much more serious gum disease (periodontitis) and eventual tooth loss. The most common cause of gingivitis is poor oral hygiene.

 Gingivitis aguda ulcerativa necrotizante | Gingivitis crónica Acute Necronising Ulcerative Gingivitis  (ANUG)| Chronic gingivitis
Sust. Fem. Sing. Noun Sing.
Enfermedad Odontología Gingivitis Disease Dentistry Gingivitis
(2) Contexto:

Las mujeres parecen tener mejores condiciones de enfermedad periodontal según la presencia de bolsas periodontales, pero con aumento en gingivitis y presencia de cálculos.

(2) Context:

While there is limited evidence showing that such approaches have been effective in blocking the colonisation of individual species such as S. mutans, blocking the development of all plaque, to prevent gingivitis may be more difficult.

(1) CLÍNICAS PROPDENTAL (2015): Gingivitis. Disponible en: <https://www.propdental.es/periodontitis/gingivitis/> [Consulta: 22 noviembre 2015].
(2) JÁRITZON MENESES-GÓMEZ, E., M. R. GARCILLÁN IZQUIERDO y E. BRATOS CALVO (2013): «Salud periodontal y hábitos en un grupo de mayores de la Comunidad de Madrid», Avances en Periodoncia e Implantología Oral, vol. 25, n.o 2, 75-81.
(1) MAYO CLINIC (2002): «Gingivitis», en Diseases and conditions. Disponible en: <http://www.mayoclinic.org/diseases-conditions/gingivitis/basics/definition/con-20021422>.
(2) WADE, W. G. (2010): «New aspects and new concepts of maintaining “microbiological” health», Journal of dentistry, vol. 38, 21-25.
 Más información / Additional information: