Absceso gingival / Gingival abscess
Descripción: Clinical examination revealed 7-mm probing depths, circumferentially around a mandibular implant, bleeding on probing, and the presence of exudate and gingival inflammatory edema
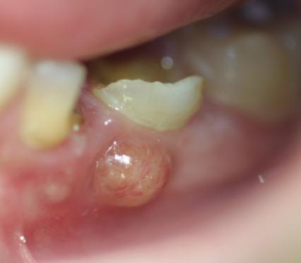
Absceso gingival*
Gingival abscess*
(1) Definición:

Se produce un aumento muy definido del volumen de la encía, generalmente en relación con un absceso periapical (extremo de la raíz de un diente) la zona se torna enrojecida e incluso puede rezumar exudado purulento.

(1) Definition:

A localized, purulent infection that involves the marginal gingiva or the interdental papilla.

Absceso periodontal | Absceso periapical | Absceso dental Periodontal abscess | Periapical abscess | Dental abscess
Sust. + Adj. Masc. Sing. Adj. + Noun Sing.
Problemas dentales Odontología Dental problems Dentistry
(2) Contexto:

El tratamiento de un absceso gingival consiste en la eliminación del cuerpo extraño, tartrectomía, drenaje cuidadoso a través del surco con una sonda o un ligero raspado y limpiar el absceso con suero salino y hacer un seguimiento a las 24-48 horas.

(2) Context:

However, in 36 (18%) cases the type of disease was not grouped under any of the above category (conditions such as acute necrotising ulcerative gingivitis (ANUG), gingival abscess, referred pain in the teeth secondary to maxillary sinusitis, anticipated infections in traumatic dental extractions or infective endocarditis prophylaxis).

*También «absceso de la encía» o «absceso periodontal por impactación sin periodontitis». *Also referred to as «gum abscess» or «gumboil».
(1) CLÍNICAS PROPDENTAL (2015): Inflamación de las encías. Disponible en: <https://www.propdental.es/blog/odontologia/inflamacion-de-las-encias/> [Consulta: 22 noviembre 2015].
(2) PÉREZ-SALCEDO, L. y A. BASCONES-MARTÍNEZ (2008): «Formas agudas de periodontitis», Avances en Periodoncia e Implantología Oral, vol. 20, n.o 1, 49-58.
(2) KUDIYIRICKAL, M. G. y F. HOLLINSHEAD (2012): «Clinical profile of orofacial infections: An experience from two primary care dental practices», Medicina Oral, Patología Oral y Cirugía Bucal, vol. 17, n.o 4, 533-537.
(1) PATEL, Punit Vaibhav, Sheela KUMAR G. y Amrita PATEL (2011): «Periodontal Abscess: A Review», Journal of Clinical and Diagnostic Research, n.o 2, vol. 5, 404-409.
 Más información / Additional information: