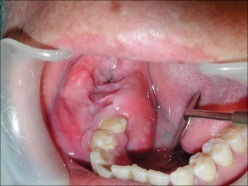
Ameloblastoma / Ameloblastoma
Descripción: Clinical examination revealed 7-mm probing depths, circumferentially around a mandibular implant, bleeding on probing, and the presence of exudate and gingival inflammatory edema
Ameloblastoma*
Ameloblastoma*
(1) Definición:

Tumor que se desarrolla de los restos epiteliales paradentales del órgano del esmalte.

(1) Definition:

Benign odontogenic tumor of epithelial origin that exhibits a locally aggressive behavior with a high level of recurrence, being believed theoretically to come from dental lamina remains, the enamel organ in development, epithelial cover of odontogenic cysts or from the cells of the basal layer of the oral mucosa.

Ameloblastoma uniquístico | Ameloblastoma mandibular | Ameloblastoma unilocular Cystic / unicystic ameloblastoma | Mandibular ameloblastoma | Unilocular ameloblastoma
Sust. Masc. Sing. Noun Sing.
Tumor Odontología Ameloblastoma Tumour Dentistry Ameloblastoma
(2) Contexto:

En esta se podían observar con mayor claridad escasos nidos y cordones de células basaloides, sin atipia, dispuestas en un estroma fibroso densamente colagenizado, lo que se consideró característico de la variante desmoplásica del ameloblastoma.

(2) Context:

We present a case of a 24-year-old man with an ameloblastoma of the mandible, in whom a soft tissue lesion was noted at pre-operative axial computed tomography (CT).

*También es conocido como adamantinoma. *Also known as adamantinoma of the jaw (not to be confused with adamantinoma of long bones, a malignant bone tumour).
(1) CLÍNICA MIRAVÉ (2015): Diccionario. Disponible en: <http://www.clinicamirave.es/en/Diccionario/> [consulta: 22 noviembre 2015].
(2) MARTÍNEZ-LAGE, J. L. et al. (2011): «Ameloblastoma desmoplásico», Revista Española de Cirugía Oral y Maxilofacial, vol. 32, n.o 1, 17-20.
(1) DANDRIYAL, Ramakant et al. (2011): «Surgical management of ameloblastoma: Conservative or radical approach», National Journal of Maxillofacial Surgery, n.o 2, vol. 1, 22-27.
(2) SHAW, A. S. y S. E. J. CONNOR (2014): «Unilateral levator claviculae muscle mimicking cervical lymph node enlargement in a patient with ameloblastoma», Dentomaxillofacial Radiology, vol. 33, n.o 3, 206-207.
 Más información / Additional information: