Cirugía de colgajo / Flap surgery
Descripción: Clinical examination revealed 7-mm probing depths, circumferentially around a mandibular implant, bleeding on probing, and the presence of exudate and gingival inflammatory edema
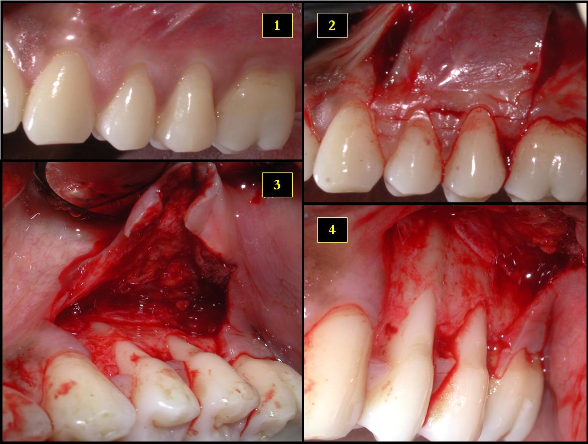
Cirugía de colgajo*
Gingival flap surgery*
(1) Definición:

En esta intervención es necesario proceder con el levantamiento de las encías para remover el sarro que se encuentra incrustado en el interior de las mismas, una vez que se ha limpiado la zona se procederá a colocar las encías en su lugar. Debido a este procedimiento hay que destacar que las encías se encogerán un poco en comparación con su tamaño antes de realizar esta intervención y de esta forma se ajustarán mejor alrededor del diente.

(1) Definition:

Gingival flap surgery is a type of gum procedure. The gums are separated from the teeth and folded back temporarily. This allows a dentist to reach the root of the tooth and the bone.

Cirugía de colgajo gingival | Cirugía de colgajo periodontal | Cirugía de colgajo dental | Cirugía de colgajo por reposición apical Gingival flap surgery | Periodontal flap surgery | Dental flap surgery | Apically repositioned flap surgery
Sust. + Prep. + Sust. Fem. Sing. Adj. + Noun + Noun Sing.
Procedimiento quirúrgico Odontología Periodontitis Surgical procedure Dentistry Periodontitis
(2) Contexto:

Durante los años se han obtenido resultados limitados en el tratamiento de periimplantitis, ya sea con cirugía de acceso o con cirugía de colgajo reposicionado apicalmente asociados con la modificación de la superficie del implante (Claffey et al, 2008).

(2) Context:

More severe cases of periodontal disease may necessitate gingival flap surgery to clean and reduce the size of deep periodontal pockets.

*Este es uno de los tres tipos de procedimiento quirúrgico que pueden realizarse en la encía, siendo los otros dos la gingivectomía y la gingivoplastia. *This is one of the three kinds of gum surgery, along with gingivectomy and gingivoplasty.
(1) CLÍNICAS PROPDENTAL (2015): Características de la cirugía de colgajo. Disponible en: < https://www.propdental.es/blog/odontologia/caracteristicas-de-la-cirugia-de-colgajo/> [Consulta: 22 noviembre 2015].
(2) FABRIZI, S., A. ORTIZ-VIGÓN CARNICERO y A. BASCONES MARTÍNEZ (2014): «¿Cuál es la indicación y eficacia de la terapia quirúrgica regenerativa en el tratamiento de la periimplantitis?», Avances en Periodoncia en Implantología Oral, vol. 26, n.o 2, 91-105.
(1) COLGATE y COLUMBIA UNIVERSITY COLLEGE OF DENTAL MEDICINE (2015): Gingival Flap Surgery. Disponible en: <http://www.colgate.com/en/us/oc/oral-health/conditions/gum-disease/article/gingival-flap-surgery> [Consulta: 24 noviembre 2015].
(2) ZOHRABIAN, Vahe M. y James J. ABRAHAMS (2015): «Inflammatory Diseases of the Teeth and Jaws», Seminars in Ultrasound, CT and MRI, vol. 36, n.o 5, 434-443.
 Más información / Additional information: