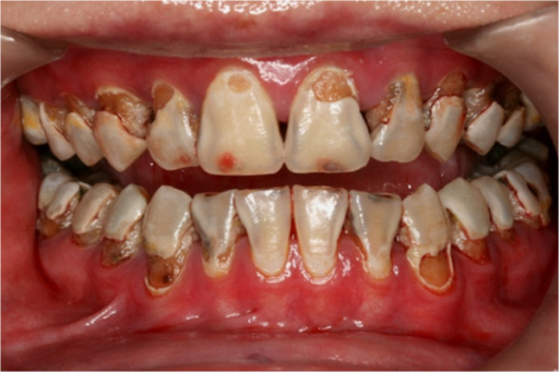
Dentina cariada / Carious dentine
Descripción: Clinical examination revealed 7-mm probing depths, circumferentially around a mandibular implant, bleeding on probing, and the presence of exudate and gingival inflammatory edema
Dentina cariada
Carious dentine
(1) Definición:

La dentina cariada presenta dos zonas bien diferenciadas: una externa, a la que se denomina dentina infectada, y otra más interna, no infectada, la dentina afectada.

(1) Definition:

The dentin that is involved in or affected by the carious process.

Dentina cariada externa | Dentina cariada interna External carious dentin | Internal carious dentin
Sust. + Adj. Fem. Sing. Adj. + Noun Sing.
Problemas dentales Odontología Caries Dental problems Dentistry Caries
(2) Contexto:

El tratamiento de la caries dentinaria profunda en dientes permanentes se ha venido realizando, generalmente, mediante la remoción completa y en una sola sesión de la dentina cariada, incluyendo la dentina blanda desmineralizada, sin tener en cuenta el potencial regenerador de la pulpa dental.

(2) Context:

More recent interesting approaches that seal enamel caries, only partially remove carious dentine or attempt to entirely seal carious dentine lesions merit not only discussion but also longer term investigation.

(2) CASTELLANOS-COSANO, L. et al. (2011): «Endodoncia preventiva: Protección pulpar mediante la técnica de eliminación de la caries en etapas (stepwise excavation), Avances en Odontoestomatología, vol. 27, n.o 5, 245-252.
(1) LÓPEZ-FRÍAS,  F. J. (2011): «Endodoncia preventiva: protección pulpar mediante la técnica de eliminación de la caries en etapas (stepwise excavation)», Avances en Odontoestomatología, vol. 27, n.o 5, 245-252.
(1) IRELAND, Robert (2010): A Dictionary of Dentistry, Oxford: Oxford University Press.
(2) WELBURY, R. (2013): «Summary of: Influence of dental care on children’s oral health and wellbeing», British Dental Journal, vol. 214, 568-569.
 Más información / Additional information: