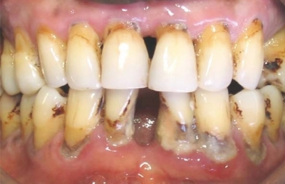
Periodontitis / Periodontitis
Descripción: Clinical examination revealed 7-mm probing depths, circumferentially around a mandibular implant, bleeding on probing, and the presence of exudate and gingival inflammatory edema
Periodontitis
Periodontitis*
(1) Definición:

Enfermedad inflamatoria del periodonto o de los tejidos de sostén de los dientes, o lesión inflamatoria gingival que se extiende hasta el hueso adyacente y que, si no se trata, puede llegar a la pérdida del hueso.

(1) Definition:

Inflammation of the periodontium (the tissues surrounding the teeth). There are 2 types: periapical and chronic.

Periodontitis crónica | Periodontitis agresiva | Periodontitis úlcero-necrosante Chronic periodontitis | Aggressive periodontitis | Necrotising ulcerative periodontitis
Sust. Fem. Sing. Noun Sing.
Enfermedad Odontología Periodontitis Disease Dentistry Periodontitis
(2) Contexto:

Estudios previos han mostrado que la defensa antioxidante está reducida en la periodontitis crónica, y el tratamiento no quirúrgico con mejoras en los parámetros clínicos puede aumentar dicha defensa antioxidante en los pacientes.

(2) Context:

This study has identified that patients with chronic periodontitis report significantly poorer oral health-related quality of life (OHRQoL) than age- and gender-matched periodontally healthy patients, with significant functional, social and psychological impacts

*Frequently referred to as periodontal disease or «pyorrhea».
(1) CLÍNICA MIRAVÉ (2015): Diccionario. Disponible en: <http://www.clinicamirave.es/en/Diccionario/> [Consulta: 22 noviembre 2015]
(2) GÓMEZ HERNÁNDEZ, C. et al. (2011): «Aplicación complementaria de terapia fotodinámica y de la radiación láser de Er:YAG al tratamiento no quirúrgico de la periodontitis crónica: estudio comparativo de sus efectos clínicos, antiinflamatorios y antimicrobianos», Avances en odontoestomatología, vol. 27, n.o 3, 147-160.
(2) DURHAM, J. et al. (2013): «Impact of periodontitis on oral health-related quality of life», Journal of Dentistry, vol. 41, n.o 4, 370-376.
(1) PAGE, Martyn (2007): The British Medical Association Illustrated Medical Dictionary, 2.a ed., Londres: Dorling Kindersley.
 Más información / Additional information: