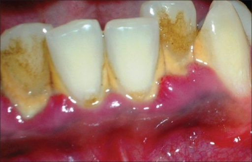
Placa bacteriana / Bacterial plaque
Descripción: Clinical examination revealed 7-mm probing depths, circumferentially around a mandibular implant, bleeding on probing, and the presence of exudate and gingival inflammatory edema
Placa bacteriana*
Bacterial plaque*
(1) Definición:

Película blanda y delgada de restos de alimentos, mucina y células epiteliales muertas que se depositan sobre los dientes constituyendo un medio de crecimiento de diversos microorganismos causantes de la caries, es a menudo la primera etapa en carie o enfermedad periodontal.

(1) Definition:

A mass of filamentous microorganisms and a large variety of smaller forms attached to the surface of a tooth that, depending on bacterial activity and environmental factors, may give rise to caries, calculus, or inflammatory changes in adjacent tissue.

Placa bacteriana subgingival | Placa bacteriana supragingival Subgingival bacterial plaque | Supragingival bacterial plaque
Sust. + Adj. Fem. Sing. Adj. + Noun Sing.
Problemas dentales Odontología Caries Dental problems Dentistry Caries
(2) Contexto:

Es conocido que algunos alimentos ofrecen mayor autolimpieza que otros. Alimentos de repostería suelen manchar mucho los dientes y favorecen la proliferación de placa. Otros en cambio, como las verduras y las frutas favorecen la limpieza, en buena parte por un fenómeno de adsorción, según el cual restos de alimentos y placa bacteriana se unen a la superficie de esos alimentos y se arrastran junto a ellos.

(2) Context:

If this is not removed, low pH generated by metabolism of bacterial plaque organisms will dissolve the hydroxyapatite mineral phase of tooth tissues and with other inflammatory metabolites, cause irritation and damage to the gingival mucosa.

*En ocasiones se puede encontrar como «placa bacteriana dental». *Also known as dental plaque, mucous plaque or mucinous plaque.
(1) CLÍNICA MIRAVÉ (2015): Diccionario. Disponible en: <http://www.clinicamirave.es/en/Diccionario/> [Consulta: 22 noviembre 2015].
(2) GONZÁLEZ-GONZÁLEZ, J. M. (2014): «Limpieza bucodental mediante técnicas de adsorción con material desechable. Nueva alternativa de higiene oral», Avances en Odontoestomatología, vol. 30, n.o 6, 299-305.
(1) MEDILEXICON (2015): Bacterial Plaque. Disponible en: <http://www.medilexicon.com/medicaldictionary.php?t=69407> [Consulta: 22 noviembre 2015]
(2) ROBINSON, C. (2011): «Mass transger of therapeutics through natural human plaque biofilms: A model for therapeutic delivery to pathological bacterial biofilms», Archives of Oral Biology, vol. 56, n.o 9, 829-836.
 Más información / Additional information: