Recesión gingival / Gingival recession
Descripción: Clinical examination revealed 7-mm probing depths, circumferentially around a mandibular implant, bleeding on probing, and the presence of exudate and gingival inflammatory edema
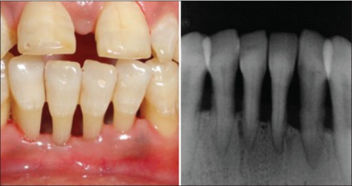
Recesión gingival*
Gingival recession
(1) Definición:

Se refiere al movimiento apical de la encía.

(1) Definition:

Gingival recession is displacement of the soft tissue margin apically leading to root surface exposure.

Recesión gingival clase I | Recesión gingival clase II | Recesión gingival clase III | Recesión gingival clase IV Type 1 gingival recession | Type 2 gingival recession | Type 3 gingival recession | Type 4 gingival recession
Sust. + Adj. Fem. Sing. Adj. + Noun Sing.
Problemas dentales Odontología Gingivitis Dental problems Dentistry Gingivitis
(2) Contexto:

Además algunos dientes muy erupcionados no tienen recesión gingival y en muchos casos en los que los dientes están en oclusión la extensión de la recesión gingival excede cualquier posible erupción.

(2) Context:

Intra-oral examination revealed scar tissue extending onto the attached gingivae associated with a mobile upper right central incisor together with marked gingival recession on the mesial aspect of 12.

*O recesión de encía.
(2) GARCÍA-RUBIO, A., A. L. BUJALDÓN-DAZA y A. RODRÍGUEZ-ARCHILLA (2015): «Recesión gingival. Diagnóstico y tratamiento», Avances en Periodoncia e Implantología Oral, vol. 27, n.o 1, 19-24.
(1) GUPTA, Priya Verma, LC GUPTA y Sujata SARABAHI (2013): Diccionario dental de Jaypee, Panamá: República de Panamá.
(2) PACE, C., S. E. WARD y A. PACE (2010): «A rare case of frontal linear scleroderma (en coup de sabre) with intra-oral and dental involvementc», British Dental Journal, vol. 208, 249-250.
(1) USTUN, Kemal et al. (2008): «Severe Gingival Recession Caused by Traumatic Occlusion and Mucogingival Stress: A Case Report», European Journal of Dentistry, n.o 2, 127-133.
 Más información / Additional information: