Cavitación / Cavitation
Descripción: Clinical examination revealed 7-mm probing depths, circumferentially around a mandibular implant, bleeding on probing, and the presence of exudate and gingival inflammatory edema
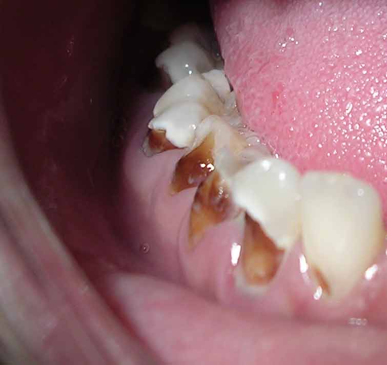
Cavitación*
Cavitation*
(1) Definición:

Es un proceso carioso que se produce en un diente resultando en una cavidad o una zanja. Aparece como una lesión radiolúcida en la radiografía.

(1) Definition:

Odontogenic epithelium is arranged in the form of sheets, rods and few odontogenic cells, arranged in duct like structures with eosinophilic material in the center.

Cavitación proximal | Cavitación bucal Approximal cavitation | Buccal surface cavitation
Sust. Fem. Sing. Noun Sing.
Problemas dentales Odontología Caries Dental problems Dentistry Caries
(2) Contexto:

La formación de cavidades cariosas comienza en forma de pequeñas áreas de desmineralización en la sub-superficie del esmalte, pudiendo progresar a través de la dentina y llegar hasta la pulpa dental, produciéndose una lesión de aspecto tizoso en la superficie del esmalte. De no realizarse terapias para remineralizar la lesión inicial, esta puede avanzar y convertirse en una cavitación.

(2) Context:

Patients showing signs of frank cavitation, shadowing, opacity and evidence of caries that has reached the dentine should be classified as diseased.

*Este término también puede emplearse para referirse a un fenónemo físico. *This term can also be used in relation with Physics.
(2) GONZÁLEZ SANZ, A. M., B. A. GONZÁLEZ NIETO y E. GONZÁLEZ NIETO (2013): «Salud dental: relación entre la caries dental y el consumo de alimentos», Nutrición Hospitalaria, vol. 28, n.o 4, 64-71.
(1) GUPTA, Priya Verma, LC GUPTA y Sujata SARABAHI (2013): Diccionario dental de Jaypee, Panamá: República de Panamá.
(1) IRELAND, Robert (2010): A Dictionary of Dentistry, Oxford: Oxford University Press.
(2) MACEY, R. et al. (2013): «Protocol for diagnostic test accuracy study: the efficacy of screening for common dental diseases by Dental Care Professionals», BMC Oral Health, vol. 13, n.o 45, 1-6.
 Más información / Additional information: