Cúspide en garra / talon cusp
Descripción: Clinical examination revealed 7-mm probing depths, circumferentially around a mandibular implant, bleeding on probing, and the presence of exudate and gingival inflammatory edema
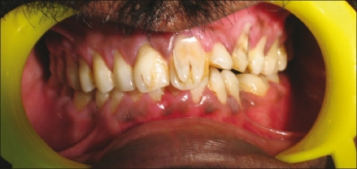
Cúspide en garra*
Talon cusp*
(1) Definición:

La cúspide en garra (nombre atribuido por su asemejo a la garra de un águila) es una anomalía dentaria poco común que se manifiesta con la presencia de una cúspide extra. Compuesta por esmalte y dentina, también puede presentar extensiones de tejido pulpar.

(1) Definition:

The talon cusp is a relatively rare dental developmental anomaly characterised by cusp-like projections, usually observed on the lingual surface of the affected tooth.

 Cúspide en garra dental | Cúspide en garra facial | Cúspide en garra labial  Bilateral palatal talon cusp | Facial talon cusp | Labial talon cusp
Sust. + Prep. + Sust. Masc. Sing. Noun + Noun Sing.
Problemas dentales Odontología Dental problems Dentistry
(2) Contexto:

Otros casos etiquetados como cúspide en garra de presentación vestibular han sido descritos (10), presentándose en dientes permanentes, de manera indistinta en ambas arcadas y en ambos sexos.

(2) Context:

Orodental anomalies included a thin
lower alveolar ridge, microdontia and talon cusp formation on the maxillary central incisors.

*O «talón cuspídeo». *Also known as «Eagle’s talon».
(1) CLÍNICAS PROPDENTAL (2015): Qué es el talón cuspideo. Disponible en: < https://www.propdental.es/blog/odontologia/que-es-el-talon-cuspideo/> [Consulta: 22 noviembre 2015].
(2) LLENA PUY, M. C. y L. FORNER NAVARRO (2005) : «Anomalía morfológica coronal inusual de un incisivo. Diente evaginado anterior», Medicina Oral, Patología oral y Cirugía Bucal, vol. 10, n.o 1, 13-16.
(2) RACE, H. et al. (2010): «A distinct autosomal recessive disorder of limb development with preaxial brachydactyly, phalangeal duplicaction, symphalangism and hyperphalangism», Clinical Dysmorphology, vol. 19, n.o 1, 23-27.
(1) SUMER, A. P. y A. Z. ZENGIN (2005) : «An unusual presentation of talon cusp : A case report», British Dental Journal, vol. 199, 429-430.
 Más información / Additional information: