Síndrome de Jalili / Jalili syndrome
Descripción: Clinical examination revealed 7-mm probing depths, circumferentially around a mandibular implant, bleeding on probing, and the presence of exudate and gingival inflammatory edema
Síndrome de Jalili*
Jalili syndrome*
(1) Definición:

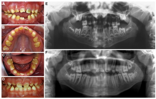
El síndrome de Jalili se caracteriza por la asociación de amelogénesis imperfecta (AI; ver este término) y distrofia de conos y bastones (CRDs; ver este término). Fue descrita únicamente en una familia con 29 individuos afectados. AI es un término genérico que designa un grupo de enfermedades hereditarias de los dientes que tienen en común anomalías del esmalte dental. El esmalte dental puede ser fino pero normal, o hipomineralizado, o los dos. CRDs es un trastorno de la retina raro que provoca inicialmente: pérdida de la visión central, defectos en la visión de los colores y fotofobia antes de los 10 años de edad; y posteriormente: ceguera nocturna y disminución del campo de visión.

(1) Definition:

Jalili syndrome is characterized by the association of amelogenesis imperfecta (AI; see this term) and cone-rod retinal dystrophy (CORD; see this term). It has been described in only one family with 29 affected individuals. AI is a generic term for an inherited group of dental diseases in which the common clinical feature is an abnormality of tooth enamel. The enamel may be thin but normal, and/or hypomineralized. CORD is a rare retinal disorder that leads to an initial loss of central vision, color vision and photophobia before the age of 10 years with subsequent night blindness and visual field restriction.

Sust. + Prep. + Sust. Masc. Sing. Noun + Noun Sing.
Enfermedad Odontología Síndromes Disease Dentistry Syndromes
(2) Contexto:

Síndrome de Jalili: Se caracteriza por la asociación de AI y distrofia de conos y bastones, un raro trastorno de la retina que provoca inicialmente pérdida de la visión central, defectos en la visión de los colores y fotofobia antes de los 10 años de edad y, posteriormente, ceguera nocturna y disminución del campo de visión.

(2) Context:

Since then, numerous other genes associated with enamel defects that also occur with systemic conditions have been identified (e.g. CNNM4 – Jalili syndrome, OMIM No. 217080 [Parry et al., 2009]; GJA1 – oculodentodigital dysplasia, OMIM No. 164200 [Vitiello et al., 2005], and SLC4A4 – renal tubular acidosis, with ocular abnormalities and mental retardation, OMIM No. 604278 [Igarashi et al., 1999] to name just a few).

*También denominado «distrofia de conos y bastones» o «amelogénesis imperfecta». *Also referred to as «cone rod dystrophy» or «amelogenesis imperfecta».
(2) MARTÍN-GONZÁLEZ, J. et al. (2012): «Anomalías y displasias dentarias de origen genético-hereditario», Avances en Odontoestomatología, vol. 28, n.o 6, 287-301.
(1) ORPHANET (2015): Síndrome de Jalili. Disponible en: <http://www.orpha.net/consor/cgi-bin/OC_Exp.php?lng=ES&Expert=1873> [Consulta: 22 noviembre 2015].
(1) ORPHANET (2015): Jalili Syndrome. Disponible en: <http://www.orpha.net/consor4.01/www/cgi-bin/OC_Exp.php?lng=EN&Expert=1873> [Consulta: 22 noviembre 2015).
(2) WRIGHT, J. T. et al. (2011): «Amelogenesis Imperfecta: Genotype-Phenotype Studies in 71 Families», Cells Tissues Organs, vol. 194, n.o 2-3, 279-283.
 Más información / Additional information: