Síndrome ocular isquémico / Ocular ischemic syndrome
Descripción: Clinical examination revealed 7-mm probing depths, circumferentially around a mandibular implant, bleeding on probing, and the presence of exudate and gingival inflammatory edema
Síndrome ocular isquémico*
Ocular ischemic syndrome*
Definición (1):

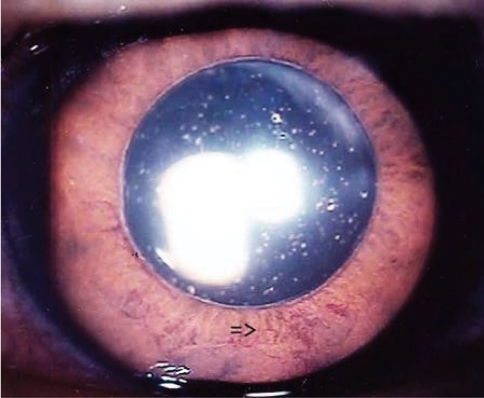
El síndrome ocular isquémico (SOI) se presenta cuando la presión de perfusión ocular disminuye de manera aguda o crónica, debido a una caída en el flujo sanguíneo de la arteria central de la retina mayor a 50%, produciendo cambios en el segmento anterior del ojo (rubeosis iridis, uveítis, cataratas) y/o posterior (infarto de la retina, neovascularización, placas microembólicas, hemorragias, palidez de la papila, glaucoma neovascular). Clínicamente se puede manifestar por dolor ocular, disminución de la agudeza visual y, en casos avanzados, ceguera.

Definition (1):

Ocular ischemic syndrome is a rare condition, which is caused by ocular hypoperfusion due to stenosis or occlusion of the common or internal carotid arteries […]Ocular ischemic syndrome is manifested as visual loss, orbital pain and, frequently, changes of the visual field, and various anterior and posterior segment signs. Anterior segment signs include iris neovascularization and secondary neovascular glaucoma, iridocyclitis, asymmetric cataract, iris atrophy and sluggish reaction to light. Posterior eye segment changes are the most characteristic, such as narrowed retinal arteries, perifoveal telangiectasias, dilated retinal veins, mid-peripheral retinal hemorrhages, microaneurysms, neovascularization at the optic disk and in the retina, a cherry-red spot, cotton-wool spots, vitreous hemorrhage and normal-tension glaucoma.

Sust. + Adj. + Adj. Masc. Sing. Adj. + Adj. + Noun Sing.
Enfermedad Oftalmología Síndromes Disease Ophthalmology Syndromes
Contexto (2):

Así, se ha relacionado el síndrome de seudoexfoliación con signos de isquemia ocular como son la presencia de neovasos iridianos, alteración en el flujo y oclusión de vena central de la retina, alteraciones cardiovasculares y cerebrovasculares, y disfunción asintomática de miocardio y de vasos de gran calibre.

Context (2):

The primary mechanism of ocular ischaemia following bilateral neck dissection is a reduction of ocular perfusion pressure.

*Es más común encontrar este término como «isquemia ocular». *Mainly known as «ocular ischaemia».
(1) CALVO LEROUX-CORONA, Gabriela, Luis MURILLO-BONILLA y David LOZANO-ELIZONDO (2003): «Síndrome ocular isquémico. Correlación con aterosclerosis extracraneal e intracraneal valorada por angio-tomografía», Revista Mexicana de Oftalmología, n.o 77, vol. 5, 170-175.
(2) PINAR-SUEIRO, Sergio y Nerea MARTÍNEZ-ALDAY (2011): «Tratamiento de los fenómenos no dependientes de la presión intraocular en el síndrome de seudoexfoliación», Archivos de la Sociedad Española de Oftalmología, vol. 86, n.o 9, 275-276.
(2) NAIR, Priya N. y Emert WHITE (2014): «Care of the eye during anaesthesia and intensive care», Anaesthesia & Intensive Care Medicine, vol. 15, n.o 1, 40-43.
(1) TERELAK-BORYS, Barbara, Katarzyna SKONIECZNA e Iwona GRABSKA-LIBEREK (2012): «Ocular ischemic syndrome – a systematic review», Medical Science Monitor, n.o 18, vol. 8, 138-144.
 Más información / Additional information: