Síndrome de Irvine-Gass / Irvine-Gass syndrome
Descripción: Clinical examination revealed 7-mm probing depths, circumferentially around a mandibular implant, bleeding on probing, and the presence of exudate and gingival inflammatory edema
Síndrome de Irvine-Gass
Irvine-Gass syndrome
Definición (1):

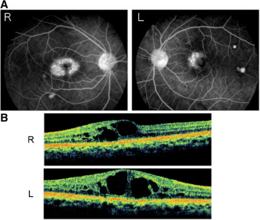
Edema macular que sucede en el postoperatorio de la cirugía de catarata.

Definition (1):

Pseudophakic cystoid macular edema, also known as Irvine-Gass syndrome, was first reported by A. Ray Irvine Jr., MD in 1953 and later elucidated with fluorescein angiography by J. Donald M. Gass, MD, in 1969. Despite advances in phacoemulsification for cataract extraction, pseudophakic CME remains a common cause of reduced vision following uncomplicated and complicated cataract surgery.

Sust. + Prep. + Sust. + Sust. Masc. Sing. Noun + Noun + Noun Sing.
Enfermedad Oftalmología Síndromes Disease Ophthalmology Syndromes

Contexto (2):

El implante intravítreo de dexametasona (Ozurdex) es un posible tratamiento para el síndrome de Irvine-Gass, dado que reduce el espesor macular y mejora la AV de estos pacientes.

Context (2):

Intraocular surgery (e.g. cataract surgery) within 1 year of enrolment. Cystoid MO following cataract surgery, also known as Irvine–Gass syndrome, is the most common cause of decreased vision following cataract surgery.

(1) ESPASA (2007): Diccionario Espasa de Medicina. Madrid: Espasa Libros.
(2) ORTEGA-EVANGELIO, L. y T. DIAGO SEMPERE (2015): «Estudio de la eficacia del implante intravítreo de dexametasona en el edema macular pseudofáquico. Resultados preliminares», Archivos de la Sociedad Española de Oftalmología, vol. 90, n.o 7, 303-307.
(1) LALLY, David R. y Chirag P. SHAH (2014): «Pseudophakic Cystoid Macular Edema», Review of Ophtalmology Online. Disponible en: <http://www.reviewofophthalmology.com/content/t/cataract/c/46967/> [Consulta 26 agosto 2015].
(2) OLSON, J. et al. (2013): «Improving the economic value of photographic screening for optical coherence tomography-detectable macular oedema: a prospective multicentre, UK study», Health Technology Assessment, vol. 17, n.o 51.
 Más información / Additional information: