Fractura periprotésica / Periprosthetic fracture
Descripción: Clinical examination revealed 7-mm probing depths, circumferentially around a mandibular implant, bleeding on probing, and the presence of exudate and gingival inflammatory edema
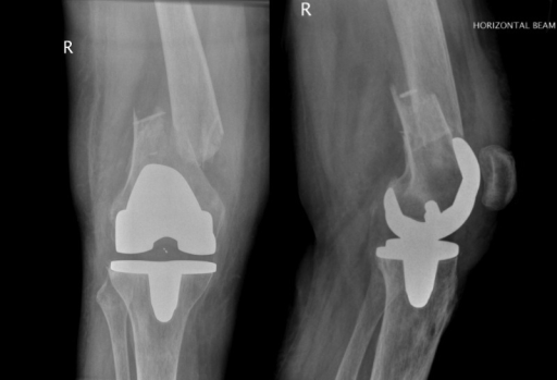
Fractura periprotésica
Periprosthetic fracture
Definición (1):

La fractura periprotésica es una patología infrecuente, de difícil manejo y potencialmente grave. Íntimamente relacionada en su patogénesis con factores intrínsecos relacionados con alteraciones de la calidad y de la resistencia del hueso, suelen requerir de tratamiento quirúrgico y suponen, en general, un reto para el cirujano ortopédico.

Definition (1):

Fractures around joint replacement prostheses are commonly called periprosthetic fractures.

Fractura periprotésica de rodilla | Fractura periprotésica de cadera | Fractura periprotésica de fémur Knee periprosthetic fracture | Hip periprosthetic fracture | Femur periprosthetic fracture
Sust. + Adj. Fem. Sing. Adj. + Noun Sing.
Problemas traumatológicos Traumatología Traumatologic problems Traumatology

Contexto (2):

En nuestro estudio la implantación de un vástago convencional, cementado, en la mayor parte de los casos, nos ha permitido simplificar el acto quirúrgico, reduciendo el riesgo potencial de fractura periprotésica intraoperatoria, y tal y como señalan Zhang et al. aunque la longitud del vástago femoral no sobrepasa los orificios diafisarios distales, no se han observado fracturas de estrés durante el seguimiento.

Context (2):

These studies compare the mechanical performance of different fixation methods in the laboratory by stabilising a periprosthetic fracture in a cadaveric or synthetic femur. The following section reviews the methods used and examines their robustness, with a focus on three specific aspects: the type of specimen, the loading protocol and the methods of measurement.

(1) CAEIRO REY, José R.  y Samer AMHAZ ESCANLAR (2014): «Epidemiología», en José R. Caeiro Rey (coord.), Fracturas periprotésicas. Tratamiento multidisciplinar de las fracturas osteoporóticas, Madrid: Sociedad Española de Cirugía Ortopédica y Traumatología, 19-25.
(2) CASTILLÓN, P. et al. (2013): «Artroplastia de cadera con vástago convencional en fracasos de osteosíntesis de fracturas del fémur proximal», Revista Española de Cirugía Ortopédica y Traumatología, vol. 57, n.o 3, 194-200.
(2) MOAZEN, Mehran (2011): «Periprosthetic fracture fixation of the femur following total hip arthroplasty: A review of biomechanical testing», Clinical Biomechanics, vol. 26, n.o 1, 13-22.
(1) RABIN, Steven I. (2014): «Periprosthetic Fractures», en Medscape. Disponible en: <http://emedicine.medscape.com/article/1269334-overview> [Consulta: 26 noviembre 2015].
 Más información / Additional information: