Maloclusión / Malocclusion
Descripción: Clinical examination revealed 7-mm probing depths, circumferentially around a mandibular implant, bleeding on probing, and the presence of exudate and gingival inflammatory edema
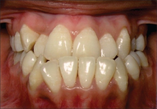
Maloclusión*
Malocclusion
(1) Definición:

Es cualquier desviación de la posición ideal de los dientes o maxilares.

(1) Definition:

An abnormal relationship between the upper and los sets of teeth when they are closed, affecting the bite or appearance. Malocclusion usually develops during childhood. It is inherited, or is caused by thumb-sucking or a mismatch between the teeth and jaws – for example the combination of large teeth and a small mouth.

Mordida abierta | Mordida cruzada | Maloclusión sagital Crossbite | Open bite | Sagital malocclusion
Sust. Fem. Sing. Noun Sing.
Problemas dentales Odontología Dental problems Dentistry
(2) Contexto:

Este paciente presentaba una anquilosis temporomandibular bilateral, con apertura máxima interincisal de 21 mm, maloclusión y asimetría facial.

(2) Context:

There are currently no high quality studies in the form of longitudinal or randomised controlled trials to assess the impact of malocclusion and its associated treatment on OHIP-14 scores respectively.

*Es recomendable el empleo de los términos «oclusión dental defectuosa» o «disoclusión» en lugar de maloclusión.
(2) GARCÍA SÁNCHEZ, A. et al. (2011): «Reconstrucción de la articulación temporomandibular postraumática con prótesis a medida. Planificación quirúrgica virtual», Revista Española de Cirugía Oral y Maxilofacial, vol. 33, n.o 2, 53-60.
(1) GUPTA, Priya Verma, LC GUPTA y Sujata SARABAHI (2013): Diccionario dental de Jaypee, Panamá: República de Panamá.
(2) JAVIDI, H. y P. BENSON (2015): «The impact of malocclusion and its treatment on the oral health related quality of life of adults, assessed using the Oral Health Impact Profile (OHIP-14)», Evidence-Based Dentistry, vol. 16, 57-58.
(1) PAGE, Martyn (2007): The British Medical Association Illustrated Medical Dictionary, 2.a ed., Londres: Dorling Kindersley.
 Más información / Additional information: