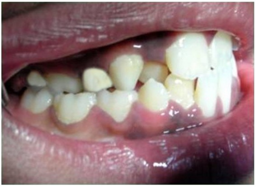
Mordida cruzada / Crossbite
Descripción: Clinical examination revealed 7-mm probing depths, circumferentially around a mandibular implant, bleeding on probing, and the presence of exudate and gingival inflammatory edema
Mordida cruzada
Crossbite
(1) Definición:

Se refiere a la maloclusión en la que el aspecto facial de los dientes superiores se encuentra detrás de los dientes inferiores

(1) Definition:

A type of malocclusion in which some or all of the lower front teeth overlap the upper front teeth.

Mordida abierta | Mordida cruzada anterior* | Mordida cruzada posterior Open bite | Anterior crossbite | Posterior crossbite*
Sust. + Adj. Masc. Sing. Adj. + Noun Sing.
Problemas dentales Odontología Dental problems Dentistry
(2) Contexto:

Se aprecia la elevada proporción de mordida cruzada posterior que se registró (18,6%) y que concuerda con los datos de referencia que documentan otros autores (16). Sin embargo, existen otros estudios que revelan proporciones menores (4%) (17).

(2) Context:

There is a very small body of low to moderate quality evidence to suggest that the quad-helix appliance may be more successful than removable expansion plates at correcting posterior crossbites and expanding the inter-molar width for children with early mixed dentition (aged eight to 10 years).

*O «mordida invertida». *Or «lateral crossbite».
(2) GARCÍA GARCÍA, V. J., J. M. USTRELL TORRENT y J. SENTÍS VILALTA (2011): «Evaluación de la maloclusión, alteraciones funcionales y hábitos orales en una población escolar: Tarragona y Barcelona», Avances en Odontoestomatología, vol. 27, n.o 2, 75-84.
(1) GUPTA, Priya Verma, LC GUPTA y Sujata SARABAHI (2013): Diccionario dental de Jaypee, Panamá: República de Panamá.
(2) O’NEILL, J. (2015): «Quad-helix appliances may be more successful than removable expansion plates at correcting posterior crossbites», Evidence-Based Dentistry, vol. 16, 25-26.
(1) PAGE, Martyn (2007): The British Medical Association Illustrated Medical Dictionary, 2.a ed., Londres: Dorling Kindersley.
 Más información / Additional information: