Placa subgingival / Subgingival plaque
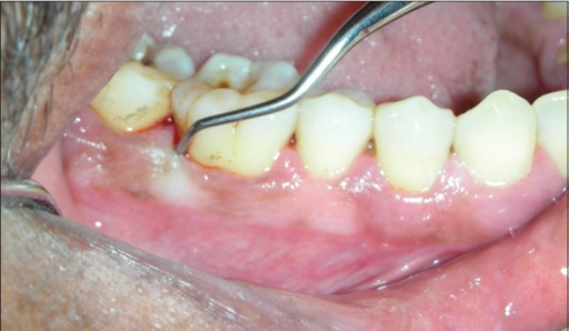
Descripción: Clinical examination revealed 7-mm probing depths, circumferentially around a mandibular implant, bleeding on probing, and the presence of exudate and gingival inflammatory edema
Placa subgingival
Subgingival plaque
(1) Definición:

Es la placa bacteriana localizada por debajo del margen gingival que está adherido al diente. También llamada placa subgingival adherida.

(1) Definition:

Supragingival plaque is bacteria adherent above the gingiva, whereas bacteria below the gingiva is called subgingival plaque.

Placa supragingival Supragingival plaque
Sust. + Adj. Fem. Sing. Adj. + Noun Sing.
Problemas dentales Odontología Dental problems Dentistry
(2) Contexto:

Bajo la denominación “enfermedad periodontal” se agrupan las infecciones crónicas producidas por las bacterias de la placa subgingival caracterizadas por la afectación del periodonto de protección (gingivitis) y/o el periodonto de inserción o aparato de fijación del diente (periodontitis).

(2) Context:

These products can reduce the levels of dental plaque and gingivitis in clinical trials; these reductions were also accompanied by the inhibition of Gram-negative anaerobic species in supra- and subgingival plaque.

(2) CASTELLANOS-COSANO, L. et al. (2011): «Asociación entre la diabetes mellitus y las infecciones crónicas orales de origen endodóncico», Avances en Odontoestomatología, vol. 27, n.o 5, 259-266.
(1) GUPTA, Priya Verma, LC GUPTA y Sujata SARABAHI (2013): Diccionario dental de Jaypee, Panamá: República de Panamá.
(1) LANGLAIS, Robert P. y Craig S. MILLER (2015): Color Atlas of Common Oral Diseases Web Page. Disponible en: <http://www.uky.edu/~cmiller/welcome.html> [Consulta 25 agosto 2015].
(2) MARSH, P. D. (2010): «Controlling the oral biofilm with antimicrobials», Journal of Dentistry, vol. 38, 11-15.
 Más información / Additional information: